【第76回 午前 85】この白いモヤモヤは何だ?STAT画像で絶対に見落とせない○○!

エックス線撮影技術学

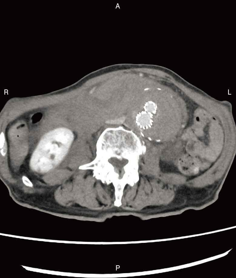
腹部造影CT像を示す。考えられるのはどれか。

  1. 腸閉塞
  2. 尿管結石
  3. 急性胆囊炎
  4. 消化管穿孔
  5. 腹部大動脈瘤破裂

出典:厚生労働省公開PDF(令和6年版)


5.腹部大動脈瘤破裂


解説

✔ 画像の「主役」を見つける

まず、画像の中央(背骨のすぐ前)を見てください。 本来なら、500円玉くらいの大きさで丸く写るはずの「腹部大動脈」が、ソフトボールのように巨大に膨れ上がっています。これが「腹部大動脈瘤(AAA)」です。

※ちなみに、真ん中にある2つの極端に白いリング状の構造物は「ステントグラフト(人工血管)」です。この患者さんは過去に大動脈瘤の治療を受けていたものの、何らかの原因で再び圧力がかかり、限界を迎えてしまった状態だと推測できます。

✔ 大血管の周りに広がる「白いモヤモヤ」の正体

この画像の最も恐ろしい所見は、膨らんだ大動脈の周りに広がっている、ベチャッとした不整形の白いモヤモヤ(高吸収域)です。 脂肪や筋肉の隙間を埋め尽くすように広がっているこの影の正体は、血管から噴き出した「新鮮な血液(血腫)」です。 腹部大動脈は「後腹膜臓器」といって、お腹の背中側を走っています。 ここが破裂すると、血液は腹腔内(腸がある場所)ではなく、背中側の隙間(後腹膜腔)に一気に流れ込みます。これを「後腹膜血腫」と呼びます。

「大動脈が異常に太い」+「その周りに血液(高吸収域)が漏れ出ている」。 この2つの所見が揃えば、診断は 腹部大動脈瘤破裂で確定です。


✔ 各選択肢について

1.腸閉塞

  • 誤り
  • 腸管の中にガス(黒)や液体がパンパンに溜まり、風船のように膨らんだ腸管がいくつも写ります。ニボー像(鏡面像)などが特徴です。

2.尿管結石

  • 誤り
  • 人尿管の通り道に、骨と同じくらい真っ白な「石(高吸収結節)」が写り、その上流の腎臓が水風船のように腫れる(水腎症)のが特徴です。

3.急性胆囊炎

  • 誤り
  • 肝臓の下にある胆囊が腫れ上がり、壁が分厚くなったり、周りの脂肪組織が炎症で白っぽく濁ったりします。

4.消化管穿孔

  • 誤り
  • 胃や腸に穴が開く病気です。一番の特徴は、お腹の中に漏れ出た空気(フリーエアー)が真っ黒な影として写ることです。

出題者の“声”

この問題は、「人の命に関わる超緊急(STAT)の異常所見」をパッと見て一瞬で判断できるか試しておる。

大動脈瘤が「ある」だけなら、緊急手術にならないことが多い。 しかし、その周囲に「血腫(血液の漏れ)」が見えた瞬間、患者さんの命の砂時計はものすごいスピードで落ち始めるんじゃ。

「あ、なんか血管が太いですね〜」と呑気に検査を終えてはいけない。 モニターにこの画像が1スライスでも映し出された瞬間、ただちに撮影を完遂し、主治医に連絡をする。放射線技師が「画像の第一発見者」として果たすべき最も重要な責任を、この問題から感じ取ってほしいんじゃよ。


臨床の“目”で読む

救急外来(ER)で「激しい腰痛・腹痛」「血圧低下」「ショック状態」の患者さんが運ばれてきたら、技師は真っ先に「大動脈解離」やこの「大動脈瘤破裂」を疑ってCTの準備をします。

撮影中、この画像のように、後腹膜に血腫が広がっているのを見た瞬間、空気は一変します。

「先生、AAA(トリプルエー)ラプチャー(破裂)です! 後腹膜に血腫回ってます!」 「わかった、すぐ外科呼んで! オペ室押さえて!」

技師の的確な第一報があれば、患者さんがCT室から直接、緊急手術室(または血管内治療室:IVR)へ向かうことができます。「危険なサインを誰よりも早く見つける」のが、臨床現場で頼りにされる放射線技師の姿です。


今日のまとめ

  1. 腹部大動脈瘤(AAA):大動脈がコブのように巨大化している状態。
  2. 破裂のサイン:血管の周りに広がる「白いモヤモヤ(後腹膜血腫)」
  3. STAT(至急)の絶対ルール:この画像を見たら、一刻も早く医師に報告する!

コメント