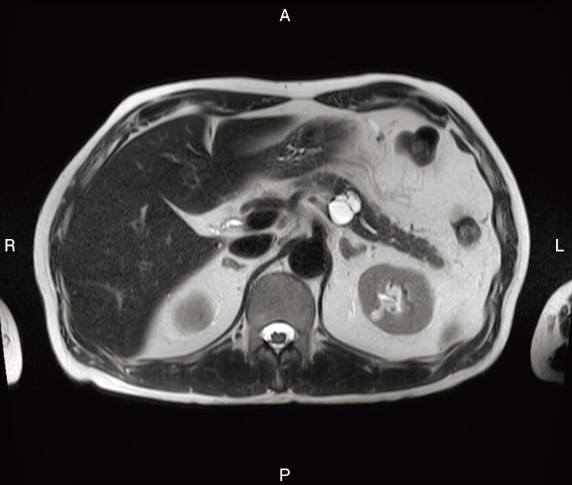
腹部 MRI の T2 強調像を示す。 多房性の腫瘤が存在する臓器はどれか。

- 肝 臓
- 腎 臓
- 膵 臓
- 大 腸
- 脾 臓
出典:厚生労働省公開PDF(令和6年版)
3.膵 臓
解説
✔ まずは解剖を押さえよう!

✔ 「多房性」と「単房性」の違い
- 多房性:ブドウの房やハチの巣のように、中に隔壁(仕切り)があって部屋が分かれているもの。
- 今回の膵臓の病変は、まさにこのタイプです(IPMN:膵管内乳頭粘液性腫瘍の分枝型などが疑われます)。
- 単房性:仕切りがなく、ツルッとした一つの袋。
出題者の“声”

この問題は、単なる知識の暗記ではなく、画像から得られる情報を統合する力を試しておる。
まず、T2強調像で真っ白に光っているという「信号特性(=水・液体)」。 次に、内部に隔壁を持ち、ブドウの房のようになっているという「形態(=多房性)」。 そして、「解剖学的位置関係(=膵体部)」。
これら3つの要素を総合的に判断して、「IPMN疑い」と導き出せる。それができればボーナスで3点、、、といきたいとこじゃが、この問題は「解剖学的位置関係」さえわかっておればまず落とさんじゃろ。
ただ実際に臨床現場で求められるのは、この「総合的な読影力」なんじゃよ。
臨床の“目”で読む

現場では、この「膵臓の多房性嚢胞」はけっこうよくある所見です。
- 偶発的に見つかる「ありふれた病変」
- この画像の正体である可能性が高い「膵IPMN(膵管内乳頭粘液性腫瘍)」は、検診や腹痛など、全く別の目的で撮ったCT・MRIで「たまたま見つかる(偶発発見)」ことが非常に多いです。 我々技師がCTやMRIを撮っていると、けっこう遭遇するポピュラーな病変の一つです。
- 重要なのは「経過観察(フォロー)」
- 頻繁に見つかりますが、放置していいわけではありません。 IPMNは良性のことが多いですが、将来的にがん化するリスクを持っています。そのため、半年や1年ごとの定期的なフォローアップ(経過観察)の対象になります。 技師としては、この所見を見つけたら「前回と比べて大きくなってないかな?」「悪性を示唆する結節(しこり)が出ていないかな?」と意識しながら、より丁寧に撮影を行う必要があります。
今日のまとめ
- 病変の「解剖学的な位置」を冷静に特定せよ。
- 多房性(隔壁あり)か、単房性(隔壁なし)かの区別が重要。



コメント