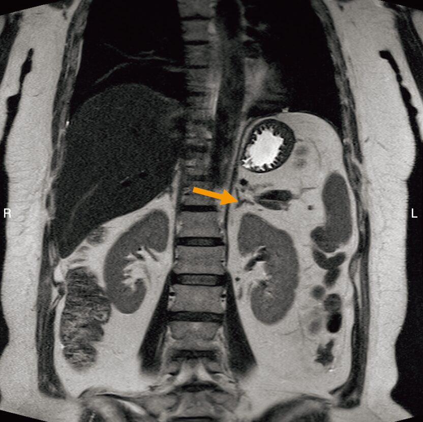
腹部 MRI の T2 強調像を示す。 矢印で示すのはどれか。

- 脾 臓
- 脾静脈
- 左副腎
- 腹腔動脈
- 左横隔膜脚
出典:厚生労働省公開PDF(令和6年版)
3.左副腎
解説
✔ ウォーリーを探せならぬ「副腎を探せ」
腹部MRIのスライス画像(CTでも同様)で、迷子にならずに臓器を見つけるには「ランドマーク(目印)」から辿るのが鉄則です。
- まず、画像右側(患者さんの左側)にある「左腎臓」を見つけます。(そら豆のような形)
- そのすぐ内側(背骨寄り)かつ頭側を見ます。
- そこに、「Yの字(または三角形)」をした小さな構造物がありませんか?
- それが「左副腎」です!

出題者の“声”

この問題は、大きな臓器(肝臓や腎臓)だけでなく、「小さくても重要な臓器」を見落とさない観察眼があるかを試しておる。
副腎は、大きさにして数センチ。しかし、ここには「原発性アルドステロン症」や「褐色細胞腫」、あるいは「がんの転移」など、重大な病気が隠れていることが多いんじゃ。
漫然と「腎臓があるなー」と見ていては、一生見つからんぞ。 「腎臓の内側に、Yの字があるはずだ!」と、探しに行く意志を持って画像を見るんじゃ。
臨床の“目”で読む

この問題を見て、正直ドキッとしました。
なぜなら、私がCT業務を教わっていた1年目の頃、先輩から「え、副腎見つけられないの?」と指導を受けた苦い経験があるからです(笑)。 皆さんには私の二の舞になってほしくないので、ぜひこの機会に副腎の位置と形をマスターしてください!
ただ臨床をやっていくと、この小さな副腎という臓器の重要性が痛いほど分かってきます。 例えば、「原発性アルドステロン症」の診断で行う「副腎静脈サンプリング」という手技があります。 その名の通り、カテーテルを副腎静脈まで誘導して採血(サンプリング)を行うのですが、実はここには左右非対称な解剖の罠があります。
- 左副腎静脈:左腎静脈から分岐(合流)する。
- 右副腎静脈:下大静脈(IVC)から直接分岐(合流)する。
こういう「左右で違う」というひっかけポイントは、出題者も大好きです。 解剖と位置、そして役割をしっかり押さえておけば、国試だけでなく臨床でも間違いなく役立つ知識ですよ。
今日のまとめ
- 左副腎の目印は、左腎臓の内側上部にある「Yの字(三角形)」。
- 右副腎は、IVCの後ろにある「線状」の構造。
- 副腎静脈は「左は腎静脈へ、右はIVCへ」と左右非対称!



コメント